インプラント

インプラント:噛めない入れ歯よ さようなら!
「入れ歯はがたがたするもの、痛いもの」とあきらめてはいませんか?
どんなに上手に作っても、がたがたしたりすることが多いのが下あごの総入れ歯です。
これを解決するのが、「第3の歯」と呼ばれるインプラント(人工歯根)です。
インプラントは体に害がないチタンという金属を歯がなったあごの骨に植えて、入れ歯を安定させます。
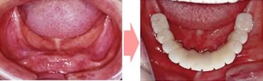
ブリッジタイプ、義歯タイプ、単独タイプの3種類の治療法があります。

ブリッジタイプ
ブリッジタイプは、5〜6本程度のインプラントを使用し、ネジで人工の歯を固定する方法で着脱の必要がありません。 2回の手術が必要で、1回目の手術後1週間は義歯が使用できません。治療費は250万円から300万円必要です。
義歯タイプ
義歯タイプは、2〜3本程度のインプラントを使用し、それを支えとして総入れ歯を安定させる方法で、取り外しての清掃が必要です。 手術は1回で骨の状態が良い場合には、その日から義歯を安定させることができます。 治療費は70万円から80万円必要です。
単独タイプ
単独タイプは、歯が抜けたところに1本のインプラントを使用し、前後の歯を削る必要もなく、入れ歯のように着脱の必要もない方法です。 2回の手術が必要で、治療費は40万円前後必要です。

インプラントの流れ
@【検査と治療計画】
治療を始める前に、X線写真、歯型、CTなどでお口の状態について詳しく検査。失った歯の本数や顎の骨の状態などを調べた上で、治療方法を選択し、患者さんとご相談しながら治療計画を立てていきます。

A【術前の治療】
インプラントを埋入する前に、歯周病、歯根の病気などの治療が必要な患者さんに行います。また、治療完了までのあいだに使う仮の入れ歯やブリッジなども必要に応じて用意します。インプラント治療でよい結果を得るには、まずはお口の健康を回復させることが大切です。
B【インプラントの設計】
人工の歯冠(上部構造)の設計をあらかじめ行い、これをしっかりと支え、よい噛み合わせを維持できるように、本数や位置を決めます。この設計にもとづき、埋入位置や角度を正確にするための型(サージカルテンプレート)を作製し、患者さんのお口にピタリと合うか確認します。
C【第一次手術】
用意した型を患者さんのお口にあて、歯ぐきを切開し、設計どおりにインプラントをあごの骨のなか埋入します。通常、局所麻酔で行います。インプラントを埋入し終わったら、歯ぐきを縫合してインプラントを被い、保護します。
D【骨結合を待つ】
インプラントとあごの骨の結合を3?6ヶ月待ちます。できるだけ仮歯を使ってより快適に過ごしていただきます。
E【第二次手術】
インプラントとあごの骨がしっかり結合したら、歯ぐきを再び切開し、埋入したインプラントの頭部を出してアバットメントを付けます。歯ぐきが治るまで1?3週間ほど待ちます。
F【人工歯冠の装着】
歯ぐきが落ち着いたところで、仮の人工の歯冠を着けます。
同時に、最終的な人工の歯冠の製作にかかります。
噛み合わせや色調、掃除のしやすさなどを考慮し、最終的な人工の歯冠を作ります。これが装着されれば治療完了です。
G【定期的メンテナンス】
治療の終了後は、良好な状態を維持していただくために、プロによるメインテナンスが必須となります。毎日のホームケアに加え、数ヶ月に一度のプロフェッショナルケアや噛み合わせのチェックを受けて、治療を長持ちさせていきましょう。